Atypical adenomatous hyperplasia
Atypical adenomatous hyperplasia is a subtype of pneumocytic hyperplasia in the lung. It can be a precursor lesion of in situ adenocarcinoma of the lung (bronchioloalveolar carcinoma). In prostate tissue biopsy, it can be confused for adenocarcinoma of the prostate. The needle biopsy rate is less than 1%.
Pathology
Morphological differential diagnosis
- Multifocal micronodular pneumocyte hyperplasia (MMPH)[1]
- in situ pulmonary adenocarcinoma (bronchioloalveolar carcinoma – BAC)
Variants
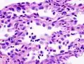
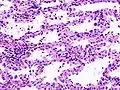
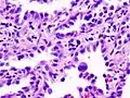
Histopathological images
See also
References
- ^ Kobashi, Y; Sugiu, T; Mouri, K; Irei, T; Nakata, M; Oka, M (2008). "Multifocal micronodular pneumocyte hyperplasia associated with tuberous sclerosis: Differentiation from multiple atypical adenomatous hyperplasia". Japanese Journal of Clinical Oncology. 38 (6): 451–4. doi:10.1093/jjco/hyn042. PMID 18535095.
- ^ Kobashi, Y; Sugiu, T; Mouri, K; Irei, T; Nakata, M; Oka, M (2008). "Multifocal micronodular pneumocyte hyperplasia associated with tuberous sclerosis: Differentiation from multiple atypical adenomatous hyperplasia". Japanese Journal of Clinical Oncology. 38 (6): 451–4. doi:10.1093/jjco/hyn042. PMID 18535095.
- ^ Pastorino, U; Calabrò, E; Tamborini, E; Marchianò, A; Orsenigo, M; Fabbri, A; Sozzi, G; Novello, S; De Marinis, F (2009). "Prolonged remission of disseminated atypical adenomatous hyperplasia under gefitinib". Journal of Thoracic Oncology. 4 (2): 266–7. doi:10.1097/JTO.0b013e3181952930. hdl:2318/84918. PMID 19179908. S2CID 35747902.
_localized_noninvasive_type.jpg)
_localized_noninvasive_type.jpg)
_localized_noninvasive_type.jpg)
_localized_noninvasive_type.jpg)