Tumor progression

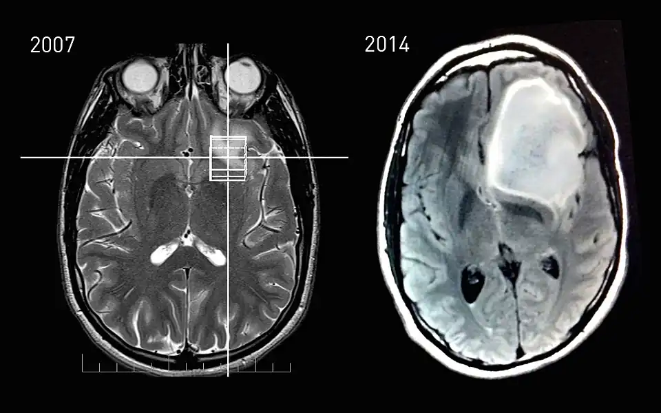
MRI scans of a patient with astrocytoma, showing the tumor's progression between the incidental finding in 2007 and the onset of phenotypical changes in 2014.

Tumor progression is the third and last phase in tumor development.[1] This phase is characterised by increased growth speed and invasiveness of the tumor cells. As a result of the progression, phenotypical changes occur and the tumor becomes more aggressive and acquires greater malignant potential. Together with the progression, more and more aneuploidy occurs. This may be evident as nuclear polymorphism.

See also

References

  1. ^ Compton C (2020). "Cancer initiation, promotion, and progression and the acquisition of key behavioral traits.". Cancer: The Enemy from Within. Cham: Springer. pp. 25–48. doi:10.1007/978-3-030-40651-6_2. ISBN 978-3-030-40650-9.
  • Progression entry in the public domain NCI Dictionary of Cancer Terms

Public Domain This article incorporates public domain material from Dictionary of Cancer Terms. U.S. National Cancer Institute.