Cancer screening

Cancer screening
A person preparing for breast cancer screening by mammography
Purposedetection of cancer prior to onset of symptoms (via several tests/imaging)

The objective of cancer screening is to detect cancer before symptoms appear, involving various methods such as blood tests, urine tests, DNA tests, and medical imaging.[1][2] The purpose of screening is early cancer detection, to make the cancer easier to treat and extending life expectancy.[3] In 2019, cancer was the second leading cause of death globally; more recent data is pending due to the COVID-19 pandemic.[4]

Universal screening, also known as mass screening or population screening, involves the screening of individuals within certain age and gender groups, aiming to screen the population for particular cancers or cancer risk factors.[5] Selective screening, also known as targeted screening, identifies individuals with a higher risk of developing cancer, including individuals with a family history (genetic risk) of cancer or individuals engaging in high-risk behaviors such as smoking.[5]

The act of cancer screening plays a pivotal role in both preventing cancer and providing early diagnosis, contributing to increased success rates in treatment and ultimately extending life expectancy.[6] Controversy arises when it is not clear whether the benefits of the screening outweigh the risks associated with the screening procedure, as well as the subsequent diagnostic tests and cancer treatments.[7] Cancer screening is susceptible to producing both false negative and false positive results, underlining the importance of considering the possible errors in the screening process.[8] Additionally, cancer screening can lead to overtreatment if the screening identifies a tumor that is ultimately benign (non-cancerous).[6]

Medical uses

Early detection of cancer is the main advantage of cancer screening, it gives the patient a better chance of surviving or even preventing the cancer. Screening can also help relieve the public burden cancer has on society both financially and socially.[9] The EU's Beating Cancer Plan wishes to make sure that 90% of the population with sufficient risk is screened for breast, cervical and colorectal cancer; around 1.3 million people die from cancer in the EU each year.[9]

Risks

Several factors are considered to determine whether the benefits outweigh the associated risks and costs of cancer screening.[1] Cancer screening trials have demonstrated only a minimal decline in cancer related deaths, and the evaluation of risks to benefits remains an important in determining the overall effectiveness of the cancer screening program.[10]

  • While many screening tests (such as the fecal occult blood test or PSA test) are non-invasive, it is important to note that mammography (breast cancer screening) involves ionizing radiation exposure.[10] The breast is highly radiation sensitive, and it receives an approximate dose of 2.6 milligrays per mammography screening.[11] There is however no evidence or research indicating that mammography screening itself directly causes cancer.[11] Additionally, procedures like colonoscopy conducted with sedation, carry a potential risk of perforation.[10]
  • Overdiagnosis occurs when cancers or tumors are detected that would never pose harm to an individual. Breast cancer, prostate cancer, and colorectal cancer are examples of cancer types that are prone to overdiagnosis.[10] The consequences of overdiagnosis and overtreatment resulting from cancer screening can lead to a decline in quality of life, due to the adverse effects of unnecessary medication and hospitalization.[10][12][13]
  • The accuracy of a cancer screening test relies on its sensitivity, and low sensitivity screening tests can overlook cancers.[10] Additionally, a test lacking specificity can incorrectly indicate cancer in a healthy individual.[10] All cancer screening tests generate both false-positive and false-negative results, with a tendency to yield more false positives.[10]
  • False-negative tests may provide a false sense of reassurance, possibly leading to a bad prognosis if the cancer is diagnosed at a later stage, despite the utilization of surgeries, therapies, and other treatments.[10][11]
  • The impact of early cancer detection and the treatment outcomes vary, as there are instances where even with available treatment, early detection may not enhance the overall survival. If the cancer screening does not change the treatment outcome, the screening only prolongs the time the individual lived with the knowledge of their cancer diagnosis. This phenomenon is called lead-time bias.[14] A useful screening program reduces the number of years of potential life lost and disability-adjusted life years lost. However, recent studies suggest that in many cases, early detection of cancer increases the likelihood of survival.[6]
  • The extent to which a cancer is treatable depends on various factors, including the individual's life expectancy or if the individual is in the end stages of an existing chronic condition. In these cases, ignoring a cancer diagnosis can contribute to a better quality of life. If the cancer diagnosis would not lead to a change in care, cancer screening would not result in a positive outcome for the individual. Overdiagnosis in this case occurs, for example, in patients with end-stage renal disease and a study recommend against cancer screening for such patients.[15]
  • For older patients, discussing whether screening is appropriate based on their life expectancy can be uncomfortable for both doctor and patient. Avoiding these conversations can lead to inappropriate screening. Some studies showed that cancer center websites tended to omit information about age cutoffs, along with other information about the downsides of unnecessary screenings.[16]

Attendance

To detect cancer at an early stage, all eligible people need to participate in screenings.[17] However, certain barriers affect attendance rates among disadvantaged individuals, such as those on low incomes, those with mental health disorders, and ethnic minorities.[17]

A 2019 study indicated that individuals with mental health disorders are nearly 25% less likely to attend cancer screening appointments.[18] Among them, women with schizophrenia have the lowest screening rates.[18] Even those with common mood disorders, such as anxiety and depression, are less likely to attend compared the general population.[18] The lower attendance rates are believed to contribute to the earlier mortality of people with mental health disorders.[18]

In 2019, a study indicated that women with mental health disorders in Northern Ireland were less likely to participate in screening for breast cancer in comparison to women without mental health disorders.[19] The documented attendance rate persisted even after accounting for variables, such as marital status and social deprivation.[19]

A study published in 2020 reported that individuals from minority ethnic communities are also less likely to participate cancer screening initiatives.[20][21] The study showed that British-Pakistani women encountered cultural and language barriers and were not aware that breast cancer screening do not take place in a female-only environment.[20][21] In the UK, women of South Asian heritage display the lowest likelihood of participating in breast cancer screening.[20][21] Further studies is still necessary to identify the specific barriers for the different South Asian communities.[20][21]

Deprivation has been recognised as an additional factor contributing to the decrease of individuals attending cancer screening.[22] A UK study indicated that making cancer screening easily accessible increased attendance.[22] Providing mobile screening units parked in supermarket car parks, for example in the poorer areas of Manchester, was a viable approach for offering lung checks to high-risk groups (such as smokers).[22] A simple test measured obstruction to the airflow in and out of the lungs.[22] A third of the tests revealed airflow obstruction, indicating chronic obstructive pulmonary disease (COPD), a risk factor for lung cancer and various other health conditions.[22]

By type

Breast cancer

Breast cancer is the most common cancer for women.[23] Screening is done to detect the disease early in asymptomatic women, in an attempt to achieve an earlier diagnosis and lower mortality. Different screening tests are used for breast cancer screening, including clinical and self-examination of the breasts, mammography, and magnetic resonance imaging (MRI). Mammography is the standard method for breast cancer screening. This method is reported to give a 40% reduction in the risk of dying from the disease.[24] Breasts with less fat and more fibrous tissue are known as dense breasts, they are a risk factor for breast cancer. The tissue makes it harder to find tumors while doing a mammogram, therefore MRI screening is proposed to supplement the mammogram in these patients.[24]

Like other cancers there are advantages and disadvantages to screening for breast cancer, with risks of harm by overdiagnosis, a possibility of radiation-induced cancer and false positives. From organized programmes it is estimated that 20% of women with 10 screens from ages 50 to 70 will get a false positive result, less than 5% of these cases will result in further invasive treatment.[24] Radiation-induced cancer from screening with mammography has been approximated to be around 1 to 10 per 100,000 women, which is lower than the estimate of death from breast cancer itself.[24]

Mutations of the genes BRCA1 and BRCA2 can increase the risk of breast cancer in the patients lifetime. In the US, risk factors for breast cancer like the BRCA gene and age are taken into consideration to decide if a screening test is needed and if so which is best for the person.[25]

Many European countries have organized population-level screening programmes for breast cancer. In 2022, the European Commission's Scientific Advice Mechanism concluded that women should be screened for breast cancer earlier, starting while in their mid 40s.[26]

Cervical cancer

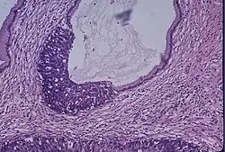
Microscope image of the cervical gland showing an area of high grade epithelial dysplasia.

Cervical cancer is the fourth most common cancer for women with an estimated 340,000 deaths according to the World Health Organization (WHO).[27] HPV disease is the leading cause of cervical cancer, therefore making the HPV vaccine the primary prevention measure for the cancer. Screening with the Papanicolaou (Pap) test is consequently the second measure of prevention.[27] The test identifies cells that are precancerous, and are often credited for the reduced mortality.[28]

WHO encourage implementing population-based screening programs. There is a considerable range in the recommended age at which to begin screening around the world. The US does not follow a nation-wide program, and guideline recommendations differ, with some states recommend commencing screening at age 21 and others at 25; the intervals for testing also very, with intervals ranging from 3–5 years. The EU has guidelines for its member states when it comes to cancer screening, but they are not obliged to follow them as they are merely for assistance; it recommends population-based screening programs from age 30 using HPV tests with 5 year intervals.[27]

In 2022, the European Commission's Scientific Advice Mechanism concluded that improved cervical cancer screening, combined with widespread HPV vaccination, presented an opportunity to eliminate cervical cancer in Europe.[29]

Colon (colorectal) cancer

A bowel polyp that can be identified by sigmoidoscopy. Some polyps will develop into cancers if not removed.

Screening for colorectal cancer, if done early enough, is preventive, seeing as benign lumps called polyps in the colon and rectum are the start to almost all cases of colon cancer. These polyps can be identified and removed by screening tests like a colonoscopy, in which the whole colon is visible. If the cancer develops then a colectomy is required, this is a more intrusive surgery. Other treatment methods are needed if the cancer has started to spread more. Early diagnosis of the cancer can remove the need for more intrusive treatments and patients can be healed.[30][31]

The US Preventive Services Task Force recommends all adults between the ages 50–75 to be screened for colorectal cancer, they also recommend adults between the ages 45–49 be screened as well. For adults 76–85 they recommend offering clinically selective screenings, where patient preference, overall health and history with screening is taken into consideration when deciding where to do a screening. This is due to evidence that there is overall little benefit in screening this group. Stool tests, sigmoidoscopy and colonoscopy are the most accepted screening tests for colorectal cancer in the US.[31]

Colorectal cancer screening programmes are widespread in Europe. In England, adults are screened biennially between ages 60–74,[32] and recently extended to ages 50–74. They are screened via fecal immunochemical test (FIT), that is sent home to the individual. However the program currently has a high threshold in which a big proportion of patients with high-risk polyps are missed and not investigated further.[33][34] In March 2022, the European Commission's Scientific Advice Mechanism recommended age, sex, and previous screening results be used when deciding screenings frequency to improve diagnosis.[26]

Prostate cancer

Prostate cancer was estimated to be the second leading cause of death by cancer in the US in 2018.[35] There are different methods used in screening for prostate cancer prostate biopsy, prostate-specific antigen testing (PSA), and digital rectal examination (DRE). In the DRE the examiner inserts a finger in the rectum of the patient and examines size and irregularities in the prostate gland. During PSA screening, blood is tested for the protein, prostate-specific antigen, secreted from the prostate gland, levels over 4 ng/mL are indicators for further analysis. At this cutoff point the patient has a 25% chance of having the disease.[36] Because the antigen is prostate specific it can also be elevated by other concerns in the prostate, like prostatitis and benign enlargements of the gland. A prostate biopsy is then performed to evaluate further diagnosis and treatment.[36]

When PSA screening began in the 1980s, cases of prostate cancer rose by 26% between 1986-2005, with the most affected age group being men under the age of 50.[37] Prostate cancer is a heterogeneous disease, and the cancer will grow aggressively in approximately 1 in 3 cases. Therefore there is a risk of overdiagnosing and overtreating, this has been subject to debate for many years.[26]

The US Preventative Service Task Force have previously recommended against PSA testing in a systematic manner because of the overdiagnosis risks. In recent years recommendations like these are being revised, as new methods of screening are advancing, like MRI scanning as a secondary assessment to the PSA test. More research needs to be done in this area, to identify who has the most benefit of screening.[9]

Lung cancer

As of 2020, lung cancer accounted for 18.4% of cancer mortalities worldwide. Because of late disgnosis only 15% of patients will live more than 5 years after their diagnosis.[38] The NELSON trial concluded that with low-dose computed tomography (LDCT) performed on high-risk populations, there is a significantly lower mortality than with no screening at all.[38]

Smoking is the leading cause of lung cancer, and is the cause of death in 55% of women and 70% of men with lung cancer.[39] The US Preventative Service Task Force revised the recommendations for lung cancer screening in 2021, where annual LDCT is recommended for adults between the ages 50 and 80, who either currently smoke or have a history of smoking 20 or more packs yearly, in the past 15 years. They also ceased the recommendation of annual screening for individuals who have refrained from smoking the last 15 years and those who have new medical issues that already reduce life expectancy. These new recommendations have increased the number of people qualified for lung cancer screening by 86%.[40]

Similarly, in March 2022, the European Commission's Scientific Advice Mechanism recommended lung screening for current and ex-smokers, combined with ongoing smoking cessation programs.[29]

Pancreatic cancer

Early detection of pancreatic cancer biomarkers was accomplished using SERS-based immunoassay approach.[41] A SERS-base multiplex proteinbiomarker detection platform in a microfluidic chip to detect is used to detect several protein biomarkers to predict the type of disease and critical biomarkers and increase the chance of diagnosis between diseases with similar biomarkers (prostate cancer, ovarian cancer, and pancreatitis).[42] It is generally agreed that general screening of large groups for pancreatic cancer is not at present likely to be effective, and outside clinical trials there are no programmes for this. The European Society for Medical Oncology recommends regular screening with endoscopic ultrasound and MRI/CT imaging for those at high risk from inherited genetics,[43] in line with other recommendations,[44][45] which may also include CT.[44] For screening, special CT scanning procedures may be used, such as multiphase CT scan.[46]

Oral cancer

The US Preventive Services Task Force (USPSTF) in 2013 found that evidence was insufficient to determine the balance of benefits and harms of screening for oral cancer in adults without symptoms by primary care providers.[47] The American Academy of Family Physicians comes to similar conclusions while the American Cancer Society recommends that adults over 20 years who have periodic health examinations should have the oral cavity examined for cancer.[47] The American Dental Association recommends that providers remain alert for signs of cancer during routine examinations.[47] Oral cancer screening is also recommended by some groups of dental hygienists.[48]

Other cancers

USPSTF have recommendations for breast, cervical, colorectal and lung cancer as these have evidence-based screening methods. For the general population other cancers don't have recommended screenings, but for people with risk factors known to be associated with a specific cancer there are screenings available.[49]

Research

Whole body imaging

Full body CT scans is a type of medical imaging utilized to search for cancer in individuals without clear symptoms. CT scans can pose challenges, especially exposure to ionizing radiation.[50] However, magnetic resonance imaging (MRI) scans are not associated with a radiation risk, and MRI scans are being evaluated for their use in cancer screening.[51] There is a significant risk of detecting incidentalomas - benign lesions that might be misinterpreted as cancer and put patients at potential risk by undergoing unnecessary follow-up procedures.[52]

Multi-cancer blood tests

In 2023 the FDA approved the first blood test for the detection of cancer, which identifies DNA variants in 47 genes associated with an elevated risk of hereditary cancer.[53][54] This test is manufactured by Invitae.[53] Other tests on the market are multi-cancer early detection (MCED).[55][56] These are distinct from hereditary cancer tests since they detect the presence of cancer through circulating tumor DNA in the blood.[55] More MCED tests are currently in development. The tests include,

As of 2023 multiple major clinical studies are undergoing for the assessment of more blood tests.[61][58] The current generation of blood tests exhibit false positive rates ranging between 0.5-1%.[58] The risk of false positives from population screening has to be weighed against the prevalence of cancer in the screened population.

References

  1. ^ a b "What Is Cancer Screening?". National Cancer Institute. 2010-01-13.
  2. ^ "Press Announcements - FDA authorizes, with special controls, direct-to-consumer test that reports three mutations in the BRCA breast cancer genes". Food and Drug Administration. 2019-09-10. Archived from the original on March 7, 2018.
  3. ^ Smith RA, Andrews KS, Brooks D, Fedewa SA, Manassaram-Baptiste D, Saslow D, Wender RC (May 2019). "Cancer screening in the United States, 2019: A review of current American Cancer Society guidelines and current issues in cancer screening". CA. 69 (3): 184–210. doi:10.3322/caac.21557. PMID 30875085.
  4. ^ Roser M (December 7, 2021). "Causes of death globally: what do people die from?". Our World in Data.
  5. ^ a b Bobrowska A, Murton M, Seedat F, Visintin C, Mackie A, Steele R, Marshall J (May 2022). "Targeted screening in the UK: A narrow concept with broad application". The Lancet Regional Health. Europe. 16: 100353. doi:10.1016/j.lanepe.2022.100353. PMC 9038565. PMID 35492962.
  6. ^ a b c Crosby D, Bhatia S, Brindle KM, Coussens LM, Dive C, Emberton M, et al. (March 2022). "Early detection of cancer". Science. 375 (6586): eaay9040. doi:10.1126/science.aay9040. PMID 35298272. S2CID 247521566.
  7. ^ Shepardson LB, Dean L (August 2020). "Current controversies in breast cancer screening". Seminars in Oncology. 47 (4): 177–181. doi:10.1053/j.seminoncol.2020.05.002. PMID 32513421. S2CID 219550403.
  8. ^ Miles A, Paschalidi A, Sharma N (September 2023). "The effect of numeric information about the likelihood of receiving a false negative or false positive result on people's attitudes towards colorectal cancer screening using faecal immunochemical testing (FIT)". Patient Education and Counseling. 114: 107857. doi:10.1016/j.pec.2023.107857. PMID 37348310.
  9. ^ a b c SAPEA (2022-03-02). Improving Cancer Screening in the European Union. DE: Science Advice for Policy by European Academies (SAPEA). doi:10.26356/cancerscreening. ISBN 978-3-9823562-0-4.
  10. ^ a b c d e f g h i Robra BP (2021). "Harms and Benefits of Cancer Screening". In Bauer AW, Hofheinz R, Utikal JS (eds.). Ethical Challenges in Cancer Diagnosis and Therapy. Recent Results in Cancer Research. Vol. 218. Cham: Springer International Publishing. pp. 85–104. doi:10.1007/978-3-030-63749-1_7. ISBN 978-3-030-63748-4. PMID 34019164. S2CID 235075529.
  11. ^ a b c Hooshmand S, Reed WM, Suleiman ME, Brennan PC (March 2022). "A review of screening mammography: The benefits and radiation risks put into perspective". Journal of Medical Imaging and Radiation Sciences. 53 (1): 147–158. doi:10.1016/j.jmir.2021.12.002. PMID 34969620. S2CID 245529037.
  12. ^ Ratushnyak S, Hoogendoorn M, van Baal PH (December 2019). "Cost-Effectiveness of Cancer Screening: Health and Costs in Life Years Gained". American Journal of Preventive Medicine. 57 (6): 792–799. doi:10.1016/j.amepre.2019.07.027. hdl:1765/121569. PMID 31753260.
  13. ^ Petrova D, Garcia-Retamero R, Cokely ET (October 2015). "Understanding the Harms and Benefits of Cancer Screening: A Model of Factors That Shape Informed Decision Making". Medical Decision Making. 35 (7): 847–858. doi:10.1177/0272989X15587676. hdl:11858/00-001M-0000-0028-9E92-D. PMID 26044208. S2CID 13919922.
  14. ^ Abrahamsson L, Isheden G, Czene K, Humphreys K (February 2020). "Continuous tumour growth models, lead time estimation and length bias in breast cancer screening studies". Statistical Methods in Medical Research. 29 (2): 374–395. doi:10.1177/0962280219832901. PMID 30854935.
  15. ^ Chertow GM, Paltiel AD, Owen WF, Lazarus JM (June 1996). "Cost-effectiveness of cancer screening in end-stage renal disease". Archives of Internal Medicine. 156 (12): 1345–1350. doi:10.1001/archinte.1996.00440110117016. PMID 8651845.
  16. ^ Span P (July 17, 2022). "Do Cancer Centers Push Too Many Tests?". The New York Times. Retrieved 18 August 2024.
  17. ^ a b "Catching cancer early: how research could help us improve". NIHR Evidence (Plain English summary). National Institute for Health and Care Research. 2021-11-10. doi:10.3310/collection_48071. S2CID 244006179.
  18. ^ a b c d Solmi M, Firth J, Miola A, Fornaro M, Frison E, Fusar-Poli P, et al. (January 2020). "Disparities in cancer screening in people with mental illness across the world versus the general population: prevalence and comparative meta-analysis including 4 717 839 people". The Lancet. Psychiatry. 7 (1): 52–63. doi:10.1016/s2215-0366(19)30414-6. hdl:11577/3383784. PMID 31787585. S2CID 208535709.
  19. ^ a b Ross E, Maguire A, Donnelly M, Mairs A, Hall C, O'Reilly D (June 2020). "Does poor mental health explain socio-demographic gradients in breast cancer screening uptake? A population-based study". European Journal of Public Health. 30 (3): 396–401. doi:10.1093/eurpub/ckz220. PMID 31834366.
  20. ^ a b c d Woof VG, Ruane H, French DP, Ulph F, Qureshi N, Khan N, et al. (May 2020). "The introduction of risk stratified screening into the NHS breast screening Programme: views from British-Pakistani women". BMC Cancer. 20 (1): 452. doi:10.1186/s12885-020-06959-2. PMC 7240981. PMID 32434564.
  21. ^ a b c d Woof VG, Ruane H, Ulph F, French DP, Qureshi N, Khan N, et al. (September 2020). "Engagement barriers and service inequities in the NHS Breast Screening Programme: Views from British-Pakistani women". Journal of Medical Screening. 27 (3): 130–137. doi:10.1177/0969141319887405. PMC 7645618. PMID 31791172.
  22. ^ a b c d e Balata H, Harvey J, Barber PV, Colligan D, Duerden R, Elton P, et al. (August 2020). "Spirometry performed as part of the Manchester community-based lung cancer screening programme detects a high prevalence of airflow obstruction in individuals without a prior diagnosis of COPD". Thorax. 75 (8): 655–660. doi:10.1136/thoraxjnl-2019-213584. PMID 32444437.
  23. ^ Waks AG, Winer EP (January 2019). "Breast Cancer Treatment: A Review". JAMA. 321 (3): 288–300. doi:10.1001/jama.2018.19323. PMID 30667505. S2CID 58580711.
  24. ^ a b c d Lauby-Secretan B, Scoccianti C, Loomis D, Benbrahim-Tallaa L, Bouvard V, Bianchini F, Straif K (June 2015). "Breast-cancer screening--viewpoint of the IARC Working Group". The New England Journal of Medicine. 372 (24): 2353–2358. doi:10.1056/NEJMsr1504363. PMID 26039523.
  25. ^ Nakamura Y, Kubota J, Nishimura Y, Nagata K, Nishimura M, Daino K, et al. (October 2022). "Brca1L63X /+ rat is a novel model of human BRCA1 deficiency displaying susceptibility to radiation-induced mammary cancer". Cancer Science. 113 (10): 3362–3375. doi:10.1111/cas.15485. PMC 9530872. PMID 35851737.
  26. ^ a b c European Commission. Directorate General for Research and Innovation., European Commission Group of Chief Scientific Advisors. (2022). Cancer screening in the European Union. LU: Publications Office. doi:10.2777/867180. ISBN 978-92-76-45603-2.
  27. ^ a b c Wang W, Arcà E, Sinha A, Hartl K, Houwing N, Kothari S (August 2022). "Cervical cancer screening guidelines and screening practices in 11 countries: A systematic literature review". Preventive Medicine Reports. 28: 101813. doi:10.1016/j.pmedr.2022.101813. PMC 9142642. PMID 35637896.
  28. ^ Lee HY, Li Q, Luo Y, Wang K, Hendrix S, Lee J, et al. (March 2021). "Is Pap Test Awareness Critical to Pap Test Uptake in Women Living in Rural Vietnam?". Asian Pacific Journal of Cancer Prevention. 22 (3): 903–908. doi:10.31557/APJCP.2021.22.3.903. PMC 8286658. PMID 33773556.
  29. ^ a b "Improving cancer screening in the European Union". Scientific Advice for Policy by European Academies. 2 March 2022. Archived from the original on 2022-03-01. Retrieved 10 March 2022.
  30. ^ Qaseem A, Crandall CJ, Mustafa RA, Hicks LA, Wilt TJ, Forciea MA, et al. (November 2019). "Screening for Colorectal Cancer in Asymptomatic Average-Risk Adults: A Guidance Statement From the American College of Physicians". Annals of Internal Medicine. 171 (9): 643–654. doi:10.7326/M19-0642. PMC 8152103. PMID 31683290.
  31. ^ a b Davidson KW, Barry MJ, Mangione CM, Cabana M, Caughey AB, Davis EM, et al. (May 2021). "Screening for Colorectal Cancer: US Preventive Services Task Force Recommendation Statement". JAMA. 325 (19): 1965–1977. doi:10.1001/jama.2021.6238. PMID 34003218.
  32. ^ "NHS bowel cancer screening (BCSP) programme". GOV.UK. 2021-03-17. Retrieved 2024-02-14.
  33. ^ New screening pathways could improve NHS England's bowel cancer programme (Report). National Institute for Health Research. 2021-09-13. doi:10.3310/alert_47581.
  34. ^ Li SJ, Sharples LD, Benton SC, Blyuss O, Mathews C, Sasieni P, Duffy SW (September 2021). "Faecal immunochemical testing in bowel cancer screening: Estimating outcomes for different diagnostic policies". Journal of Medical Screening. 28 (3): 277–285. doi:10.1177/0969141320980501. PMC 8366184. PMID 33342370.
  35. ^ Fenton JJ, Weyrich MS, Durbin S, Liu Y, Bang H, Melnikow J (May 2018). "Prostate-Specific Antigen-Based Screening for Prostate Cancer: Evidence Report and Systematic Review for the US Preventive Services Task Force". JAMA. 319 (18): 1914–1931. doi:10.1001/jama.2018.3712. PMID 29801018.
  36. ^ a b Sekhoacha M, Riet K, Motloung P, Gumenku L, Adegoke A, Mashele S (September 2022). "Prostate Cancer Review: Genetics, Diagnosis, Treatment Options, and Alternative Approaches". Molecules. 27 (17): 5730. doi:10.3390/molecules27175730. PMC 9457814. PMID 36080493.
  37. ^ Welch HG, Albertsen PC (October 2009). "Prostate cancer diagnosis and treatment after the introduction of prostate-specific antigen screening: 1986-2005". Journal of the National Cancer Institute. 101 (19): 1325–1329. doi:10.1093/jnci/djp278. PMC 2758309. PMID 19720969.
  38. ^ a b de Koning HJ, van der Aalst CM, de Jong PA, Scholten ET, Nackaerts K, Heuvelmans MA, et al. (February 2020). "Reduced Lung-Cancer Mortality with Volume CT Screening in a Randomized Trial". The New England Journal of Medicine. 382 (6): 503–513. doi:10.1056/NEJMoa1911793. hdl:2066/216700. PMID 31995683.
  39. ^ O'Keeffe LM, Taylor G, Huxley RR, Mitchell P, Woodward M, Peters SA (October 2018). "Smoking as a risk factor for lung cancer in women and men: a systematic review and meta-analysis". BMJ Open. 8 (10): e021611. doi:10.1136/bmjopen-2018-021611. PMC 6194454. PMID 30287668.
  40. ^ Colson YL, Shepard JO, Lennes IT (June 2021). "New USPSTF Guidelines for Lung Cancer Screening: Better but Not Enough". JAMA Surgery. 156 (6): 513–514. doi:10.1001/jamasurg.2021.0242. PMID 33687427. S2CID 232160050.
  41. ^ Banaei N, Foley A, Houghton JM, Sun Y, Kim B (November 2017). "Multiplex detection of pancreatic cancer biomarkers using a SERS-based immunoassay". Nanotechnology. 28 (45): 455101. Bibcode:2017Nanot..28S5101B. doi:10.1088/1361-6528/aa8e8c. PMID 28937361. S2CID 206086640.
  42. ^ Banaei N, Moshfegh J, Mohseni-Kabir A, Houghton JM, Sun Y, Kim B (January 2019). "Machine learning algorithms enhance the specificity of cancer biomarker detection using SERS-based immunoassays in microfluidic chips". RSC Advances. 9 (4): 1859–1868. Bibcode:2019RSCAd...9.1859B. doi:10.1039/c8ra08930b. PMC 9059745. PMID 35516124.
  43. ^ Seufferlein T, Bachet JB, Van Cutsem E, Rougier P (October 2012). "Pancreatic adenocarcinoma: ESMO-ESDO Clinical Practice Guidelines for diagnosis, treatment and follow-up". Annals of Oncology. 23 (Suppl 7): vii33 – vii40. doi:10.1093/annonc/mds224. PMID 22997452.
  44. ^ a b Stoita A, Penman ID, Williams DB (May 2011). "Review of screening for pancreatic cancer in high risk individuals". World Journal of Gastroenterology. 17 (19): 2365–2371. doi:10.3748/wjg.v17.i19.2365. PMC 3103788. PMID 21633635.
  45. ^ Vincent A, Herman J, Schulick R, Hruban RH, Goggins M (August 2011). "Pancreatic cancer". Lancet. 378 (9791): 607–620. doi:10.1016/S0140-6736(10)62307-0. PMC 3062508. PMID 21620466.
  46. ^ "Tests for Pancreatic Cancer". www.cancer.org. Retrieved 2020-04-30.
  47. ^ a b c "Final Recommendation Statement: Oral Cancer: Screening - US Preventive Services Task Force". www.uspreventiveservicestaskforce.org. November 2013. Retrieved 23 November 2017.
  48. ^ "Oral Cancer Screening". www.crdha.ca. Archived from the original on 11 September 2017. Retrieved 24 November 2017.
  49. ^ Barsouk A, Saginala K, Aluru JS, Rawla P, Barsouk A (March 2022). "US Cancer Screening Recommendations: Developments and the Impact of COVID-19". Medical Sciences. 10 (1): 16. doi:10.3390/medsci10010016. PMC 8949858. PMID 35323215.
  50. ^ Albert JM (July 2013). "Radiation risk from CT: implications for cancer screening". AJR. American Journal of Roentgenology. 201 (1): W81 – W87. doi:10.2214/AJR.12.9226. PMID 23789701.
  51. ^ Lauenstein TC, Semelka RC (September 2006). "Emerging techniques: whole-body screening and staging with MRI". Journal of Magnetic Resonance Imaging. 24 (3): 489–498. doi:10.1002/jmri.20666. PMID 16888774.
  52. ^ Lumbreras B, Donat L, Hernández-Aguado I (April 2010). "Incidental findings in imaging diagnostic tests: a systematic review". The British Journal of Radiology. 83 (988): 276–289. doi:10.1259/bjr/98067945. PMC 3473456. PMID 20335439.
  53. ^ a b Office of the Commissioner (2023-10-02). "FDA Grants First Marketing Authorization for a DNA Test to Assess Predisposition for Dozens of Cancer Types". FDA. Archived from the original on September 29, 2023. Retrieved 2023-11-09.
  54. ^ Branca M (2023-10-02). "First Blood Test for Dozens of Hereditary Cancers Approved by FDA". Inside Precision Medicine. Retrieved 2023-11-09.
  55. ^ a b Etzioni R, Gulati R, Weiss NS (March 2022). "Multicancer Early Detection: Learning From the Past to Meet the Future". Journal of the National Cancer Institute. 114 (3): 349–352. doi:10.1093/jnci/djab168. PMC 8902333. PMID 34450655.
  56. ^ "Future Oncology, 21(1), 105–115, Evaluation of a multimodal ctDNA-based assay for detection of aggressive cancers lacking standard screening tests".
  57. ^ Janin A (2023-10-25). "This $1,000 Test Finds Signs of Cancer in Your Blood". WSJ. Retrieved 2023-11-09.
  58. ^ a b c Connal S, Cameron JM, Sala A, Brennan PM, Palmer DS, Palmer JD, et al. (February 2023). "Liquid biopsies: the future of cancer early detection". Journal of Translational Medicine. 21 (1): 118. doi:10.1186/s12967-023-03960-8. PMC 9922467. PMID 36774504.
  59. ^ "SPOT-MAS by Gene Solutions".
  60. ^ "Biotech firm Gene Solutions: A promising picture for multi-cancer early detection in Southeast Asia".
  61. ^ Stergiopoulou D, Markou A, Strati A, Zavridou M, Tzanikou E, Mastoraki S, et al. (January 2023). "Comprehensive liquid biopsy analysis as a tool for the early detection of minimal residual disease in breast cancer". Scientific Reports. 13 (1): 1258. Bibcode:2023NatSR..13.1258S. doi:10.1038/s41598-022-25400-1. PMC 9870904. PMID 36690653.

Further reading

  • Aziz K, Wu GY, eds. (2002). Cancer Screening: A Practical Guide for Physicians. Current Clinical Practice. Humana Press. ISBN 9780896038653.
  • Smith RA, Cokkinides V, Eyre HJ (2007). "Cancer screening in the United States, 2007: a review of current guidelines, practices, and prospects". CA. 57 (2): 90–104. doi:10.3322/canjclin.57.2.90. PMID 17392386.
  • Siddhartha Mukherjee, "Early Warnings: New technologies promise to catch more cancers sooner. But such screening can pose hidden hazards", The New Yorker, 23 June 2025, pp. 36–43. "In 2021... the United States spent more than forty billion dollars on cancer screening. On average, a year's worth of screening yields nine million positive results—of which 8.8 million are false. Millions endure follow-up scans, biopsies, and anxiety so that just over two hundred thousand true positives can be found, of which an even smaller fraction can be cured by local treatment, like excision. [p. 38.] Early work with cell-free DNA hints [that] blood tests... may one day tell us not only where a cancer began but whether it's likely to pose a threat to health. For now... hope still outpaces certainty and the holy grail of perfect screening remains just out of reach." (p. 43.)