Central chromatolysis

Micrograph of the anterior horn of the spinal cord showing motor neurons with central chromatolysis. H&E stain.
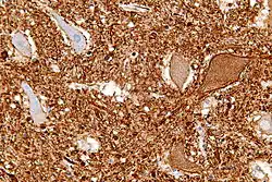
Micrograph of the anterior horn of the spinal cord showing motor neurons with central chromatolysis. Neurofilament immunostain.

Central chromatolysis is a histopathologic change seen in the cell body of a neuron, where the chromatin and cell nucleus are pushed to the cell periphery, in response to axonal injury.[1][2] This response is associated with increased protein synthesis to accommodate for axonal sprouting. In addition to traumatic injuries, central chromatolysis may be caused by vitamin deficiency (pellagra[3]).

See also

References

  1. ^ Neuropathology - Basic Reactions. University of Vermont. URL: http://www.uvm.edu/~jkessler/NP/neuropbr.htm Archived January 1, 2010, at the Wayback Machine. Accessed on: 1 January 2011.
  2. ^ Holland GR (1996). "Experimental trigeminal nerve injury". Crit. Rev. Oral Biol. Med. 7 (3): 237–58. PMID 8909880.
  3. ^ Piercecchi-Marti MD, Pélissier-Alicot AL, Leonetti G, Tervé JP, Cianfarani F, Pellissier JF (December 2004). "Pellagra: a rare disease observed in a victim of mental and physical abuse". Am J Forensic Med Pathol. 25 (4): 342–4. doi:10.1097/01.paf.0000136589.28903.e5. PMID 15577526.