Rachitic rosary
| Rachitic rosary | |
|---|---|
![]() | |
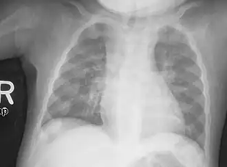
| Rachitic rosary on chest radiograph |
The rachitic rosary or beading of the ribs are the prominent knobs of bone at the costochondral joints of rickets patients. The knobs create the appearance of large beads under the skin of the rib cage, hence the name by analogy with the beads of a Catholic Christian rosary.[1]
Pathophysiology
In rickets, deficient or impaired vitamin D activity reduces intestinal calcium absorption, resulting in hypocalcemia. This stimulates parathyroid hormone secretion, which exacerbates phosphate loss and further depletes calcium reserves.[2]
Rachitic rosary results from calcium deficiency, which disrupts the mineralization of osteoid and cartilage at the costochondral junctions, leading to the accumulation and excessive proliferation of uncalcified growth plate cartilage, forming palpable bony swellings.
Rickets is the most common cause of rachitic rosary, however its presence has also been noted in tumor-induced osteomalacia, primary hyperparathyroidism, and beta-thalassemia.[3][4][5][6] It is usually seen in infants or children.[7]
Diagnosis
Rachitic rosary may be felt during palpitation on a physical exam, or can be seen on a chest X-ray.[8] In severe cases including malnutrition, the bony protrusions may be seen through the skin.[9]
Scorbutic rosary is a differential diagnosis for rachitic rosary. Scorbutic rosary may present as beading at the costochondral junctions in cases of advanced scurvy in children. It may be distinguished from rachitic rosary on radiographic imaging by its more angular appearance and the presence of an abrupt irregularity at the costochondral junction.[10]
Management
With the underlying cause treated, rachitic rosary may resolve on its own.[4] If identified and treated early, nutritional rickets has a good prognosis.[11]
References
- ^ John Little Morris; W.F. Waugh; W.C. Abbott (1900). "Rickets". The Alkaloidal Clinic. 7 (1). Clinic Publishing Company.
The earliest bone lesion that we find in incipient rickets is the beading of the ribs, the so-called rachitic rosary. This is due to an enlargement of the osteo chondric articulations, and hence its name because of fancied resemblance to the rosary used by the Catholic worshiper.
- "Rachitic rosary". TheFreeDictionary. Retrieved 12 August 2013. - ^ Munns, Craig F.; et al. (2016). "Global Consensus Recommendations on Prevention and Management of Nutritional Rickets". The Journal of Clinical Endocrinology and Metabolism. 101 (2). Oxford University Press: 394–415. doi:10.1210/jc.2015-2175. PMC 4880117. PMID 26745253.
- ^ von Schulthess, Gustav K.; Ch.L. Zollikofer, eds. (2005). Musculoskeletal diseases : diagnostic imaging and interventional techniques. 37th International Diagnostic Course in Davos (IDKD) Davos, April 2–8, 2005 : including the Pediatric Satellite course "Kangaroo" Davos, April 2–3, 2005. Milan: Springer. ISBN 8847003180.
- Ebel, Klaus-Dietrich; et al., eds. (1999). Differential diagnosis in pediatric radiology. Stuttgart: Thieme. ISBN 9783131081315.
- Ebel, Klaus-Dietrich; et al., eds. (1999). Differential diagnosis in pediatric radiology. Stuttgart: Thieme. ISBN 3131081317. - ^ a b George, Geena Susan; Raizada, Nishant; Jabbar, Puthiyaveettil Khadar; Chellamma, Jayakumari; Nair, Abilash (August 2019). "Slipped Capital Femoral Epiphysis in Primary Hyperparathyroidism - Case Report with Literature Review". Indian Journal of Endocrinology and Metabolism. 23 (4): 491–494. doi:10.4103/ijem.IJEM_306_19. ISSN 2230-8210. PMC 6844161. PMID 31741912.
- ^ Pradeep, Utkarsh; Daiya, Varun; Madke, Bhushan; Kumar, Sunil (2025-01-19). "Beta-thalassemia major presenting as rachitic rosary in young adult". BMJ Case Reports. 18 (1): e261278. doi:10.1136/bcr-2024-261278. ISSN 1757-790X. PMID 39828305.
- ^ Chakraborty, Partha Pratim; Bhattacharjee, Rana; Mukhopadhyay, Satinath; Chowdhury, Subhankar (2016-02-23). "'Rachitic rosary sign' and 'tie sign' of the sternum in tumour-induced osteomalacia". BMJ Case Reports. 2016: bcr2016214766. doi:10.1136/bcr-2016-214766. ISSN 1757-790X. PMC 4769473. PMID 26907825.
- ^ Uday, Suma; Högler, Wolfgang (October 2020). "Nutritional rickets & osteomalacia: A practical approach to management". Indian Journal of Medical Research. 152 (4): 356–367. doi:10.4103/ijmr.IJMR_1961_19. ISSN 0971-5916. PMC 8061584. PMID 33380700.
- ^ Servaes, Sabah; States, Lisa; Wood, Joanne; Schilling, Samantha; Christian, Cindy W. (2020-01-01). "Rachitic change and vitamin D status in young children with fractures". Skeletal Radiology. 49 (1): 85–91. doi:10.1007/s00256-019-03261-6. ISSN 1432-2161.
- ^ Abbas, Asad; Zaka-ur-rab, Zeeba (2017-06-08). "Rickets in a 6-year-old girl resulting in extreme deformities". Paediatrics and International Child Health. 38 (3): 213–215. doi:10.1080/20469047.2017.1335379. ISSN 2046-9047. PMID 28594291.
- ^ Goebel, Lynne; Mose, July (2024-12-02). "Scurvy (Vitamin C Deficiency) Clinical Presentation: History, Physical Examination". emedicine.medscape.com. Retrieved 2025-05-03.
- ^ Dahash, Basma A.; Sankararaman, Senthilkumar (2025), "Rickets", StatPearls, Treasure Island (FL): StatPearls Publishing, PMID 32965956, retrieved 2025-05-03
