Sirius Red

Sirius Red
Names
IUPAC name
Hexasodium (3E)-4-oxo-7-[[(6E)-5-oxo-7-sulfonato-6-[[2-sulfonato-4-[(4-sulfonatophenyl)diazenyl]phenyl]hydrazinylidene]naphthalen-2-yl]carbamoylamino]-3-[[2-sulfonato-4-[(4-sulfonatophenyl)diazenyl]phenyl]hydrazinylidene]naphthalene-2-sulfonate
Other names
Direct Red 80; Picrosirius Red
Identifiers
3D model (JSmol)
ChemSpider
ECHA InfoCard 100.018.208
EC Number
  • 220-027-3
UNII
  • InChI=1S/C45H32N10O21S6.6Na/c56-43-33-13-5-27(17-23(33)19-39(81(71,72)73)41(43)54-52-35-15-7-29(21-37(35)79(65,66)67)50-48-25-1-9-31(10-2-25)77(59,60)61)46-45(58)47-28-6-14-34-24(18-28)20-40(82(74,75)76)42(44(34)57)55-53-36-16-8-30(22-38(36)80(68,69)70)51-49-26-3-11-32(12-4-26)78(62,63)64;;;;;;/h1-22,52-53H,(H2,46,47,58)(H,59,60,61)(H,62,63,64)(H,65,66,67)(H,68,69,70)(H,71,72,73)(H,74,75,76);;;;;;/q;6*+1/p-6/b50-48?,51-49?,54-41-,55-42-;;;;;;
    Key: LDCKXVAPQFUIOI-ZFLDVXHKSA-H
  • C1=CC(=CC=C1N=NC2=CC(=C(C=C2)N/N=C/3\C(=O)C4=C(C=C3S(=O)(=O)[O-])C=C(C=C4)NC(=O)NC5=CC6=C(C(=O)/C(=N\NC7=C(C=C(C=C7)N=NC8=CC=C(C=C8)S(=O)(=O)[O-])S(=O)(=O)[O-])/C(=C6)S(=O)(=O)[O-])C=C5)S(=O)(=O)[O-])S(=O)(=O)[O-].[Na+].[Na+].[Na+].[Na+].[Na+].[Na+]
Properties
C45H26N10Na6O21S6
Molar mass 1373.05 g·mol−1
Except where otherwise noted, data are given for materials in their standard state (at 25 °C [77 °F], 100 kPa).
Infobox references

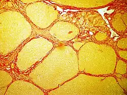
Sirius Red F 3B (Direct Red 80) is an azo dye primarily used in staining methods for collagen and amyloid.[1] It has the molecular formula C45H26N10Na6O21S6.

In histology, sirius red staining is used in various domains of diagnostic to observe fibrosis levels in a lot of cases of inflammation induced by cancer, vascular or metabolic pathologies.[2]

In bright field microscopy the following can be observed:

  • The nuclei in yellow
  • The cytoplasm in yellow
  • Collagen fibers in red
  • Muscular fibers in yellow
  • Red blood cells in yellow
Sirius red staining in rat liver, where the red color indicates collagen deposition[3]

See also

References

  1. ^ Dapson, Richard W.; Fagan, C.; Kiernan, John A.; Wickersham, T.W. (March 2011). "Certification procedures for sirius red F3B". Biotechnic & Histochemistry. 86 (3): 133–9. doi:10.3109/10520295.2011.570277. PMID 21417582. S2CID 32655644. Retrieved 2015-08-21.
  2. ^ "Sirius red". Histalim. Retrieved 2015-09-22.
  3. ^ Dwivedi, Durgesh Kumar; Jena, G B (November 2018). "Glibenclamide protects against thioacetamide-induced hepatic damage in Wistar rat: investigation on NLRP3, MMP-2, and stellate cell activation". Naunyn-Schmiedeberg's Archives of Pharmacology. 391 (11): 1257–1274. doi:10.1007/s00210-018-1540-2. PMID 30066023. S2CID 51890984.