Syringofibroadenoma
| Syringofibroadenoma | |
|---|---|
| Other names | Acrosyringeal nevus of Weedon and Lewis |
| Specialty | Dermatology |
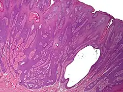
Syringofibroadenoma is a cutaneous condition characterized by a hyperkeratotic nodule or plaque involving the extremities.[1]: 668
It is considered of eccrine origin.[2]
See also
References
- ^ James, William D.; Berger, Timothy G.; et al. (2006). Andrews' Diseases of the Skin: Clinical Dermatology. Saunders Elsevier. ISBN 0-7216-2921-0.
- ^ "Syringofibroadenoma pathology - DermNet New Zealand". www.dermnet.org.nz.
External links